新冠肺炎疫情持续蔓延全球,累计死亡人数超过20万。导致死亡人数攀升的一个重要原因就是轻症患者(轻型或普通型)突发的快速恶化,尤其在疫情高峰期间,重症患者的增多进一步加剧重症监护室、医护人员等医疗资源的短缺,造成死亡人数进一步攀升,疫情早期局部地区重症患者死亡率一度突破60%。因此,如何准确的早期预测患者是否将进展为重症,成为临床工作者面临的一大考验。
近日,yl23411永利集团张麒副教授、上海市公共卫生临床中心施裕新教授、上海市医疗图像与医学知识图谱人工智能重点实验室(依图医疗承建)石磊博士等组成交叉学科联合科研课题组,在生物医学1区杂志《Theranostics》(IF: 8.063)就这一问题发表了突破性成果,首次采用CT影像的人工智能(AI)建模对新冠患者的重症化进行预测。公司张麒副教授等为本文并列第一作者,传染病放射学专家施裕新教授及影像AI专家石磊博士为共同通讯作者。

此前国内外所进行的大量“AI+新冠肺炎”的相关研究中,绝大部分科研成果均聚焦于病情当前状况的评估(如病灶检出、诊断、分型、严重程度评价等),但对于重症风险的预测难题,一直未能有所突破。此论文的最新研究成果有望改变这一局面。该项目为回顾性队列研究,利用AI技术提取三个定量CT特征,对轻症患者转重症的风险系数进行定量评估,性能表现优异。
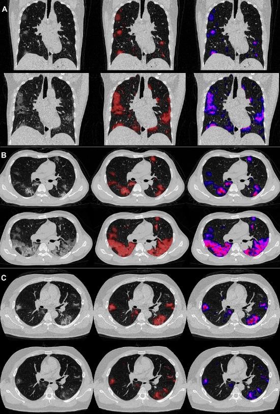
研究中,联合科研课题组针对上海市公共卫生临床中心确诊的134位COVID-19患者,使用全卷积神经网络AI算法自动计算肺炎病变的三个定量CT特征,包括磨玻璃病变体积占比(PGV),实性病变体积占比(PCV),以及磨玻璃-实性过渡密度区病变体积占比(PSV)。

研究发现,入院日(D0)与入院4天后(D4)的CT特征以及从D0至D4的CT特征变化量均具有预测能力,预测未来是否进展为重症的接受者操作特性曲线下面积(AUC)达到0.93,95%置信区间(CI) 0.87-0.99, Cox比例风险模型一致性指数(C-index)= 0.88,95%CI,0.81~0.95。PGV和PCV的风险比分别为1.39(95%CI 1.05~1.84,P = 0.023)和1.67(95%CI 1.17~2.38,P = 0.005)。且AI技术得到的CT定量特征优于APACHE-II临床评分,中淋比和D-二聚体等临床指标。

新冠肺炎重症患者死亡率高,及早发现可能轻症转重症的患者并采取干预措施非常重要。该研究通过AI技术得到的肺炎病变CT量化特征可以早期且无创地预测疾病进展,为COVID-19的临床管理提供了有益的预后指标,对于中国乃至全球的新冠肺炎防治都具备一定的参考意义。